|
|
一、斑的种类很多,常见的有:雀斑、老年斑、黄褐斑、咖啡斑 1、雀斑:雀斑是一种常见的黄褐色点状色素沉着斑。皮肤出现皮损,且日晒可加重或诱发皮损,好发于面颊部及鼻旁,其特点为散在或集中分布,大小可从数毫米至数厘米不等,呈圆形、卵圆形或不规则形态。
2、老年斑:老年斑是一种由皮肤衰老引起色素沉着导致的皮肤退行性病变。老年斑多呈淡褐色或棕褐色,颜色随着年龄增长而加深,好发于面额部及手背部等,其特点为表面光滑,大小不等,呈扁平状或稍高于头面部。
3、黄褐斑:黄褐斑是一种由于血清雌激素水平升高引起面部的黄褐色色素沉着而形成的斑。黄褐斑多见于女性,常呈黄褐色或深褐色,颜色与情绪、劳累、日晒及内分泌紊乱等因素有关,好发于颧颊部、前额及眶周等部位,其特点为多呈对称性分布,边缘清楚。
4、咖啡斑:咖啡斑是一种遗传性色素沉着性皮肤病。黄褐斑多见于婴幼儿或儿童,呈浅褐色或深褐色,颜色深浅与日晒无关,好发于躯干部,其特点为颜色相同且均匀,表面光滑,边界清楚,呈圆形、卵圆形或不规则形态,表面皮肤质地正常。
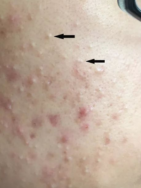
二、脸上长痘痘的种类有粉刺、丘疹、脓疱、囊肿等 1、粉刺:是毛囊皮脂腺中导管堵塞造成的非炎症丘疹,其主要症状有圆锥形丘疹,顶端呈黄色、黑色点状,挤压会有黄色、半透明脂栓渗出。
2、丘疹:表现为皮肤浅表的局部隆起,一般由皮肤失调、过敏等引起。
3、脓疱:指化脓性皮肤病,具有传染性,其临床的表现有丘疹、水疱、脓疱等。
4、囊肿:皮肤囊肿并非肿瘤,具有囊腔结构,内部含液体的皮肤损伤,其表现主要有丘疹、结节、肿物等症状。
斑可以祛除或改善吗 免费预约400-902-1098 |







